NEWS
NEWS
NEWS
Groundbreaking Epicardial Ablation for Ventricular Tachycardia Performed at Hippokration General Hospital
Groundbreaking Epicardial Ablation for Ventricular Tachycardia Performed at Hippokration General Hospital
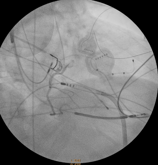
For the first time, the Electrophysiology Laboratory of the 2nd University Cardiology Department at Hippokration General Hospital of Thessaloniki has successfully performed an epicardial ablation procedure for ventricular tachycardia.
The pioneering procedure was carried out in two patients with a history of dilated cardiomyopathy who had suffered repeated discharges from their implanted biventricular defibrillators. In such cases, epicardial ablation often provides the only effective access route to treat life-threatening arrhythmias, especially in high-risk patient groups such as those with dilated cardiomyopathy or arrhythmogenic right ventricular cardiomyopathy.
This advanced procedure is available in only a handful of centers in Greece and marks a significant milestone for Hippokration Hospital, placing it at the forefront of cardiac arrhythmia treatment.
Nikolaos Fragakis
Professor of Cardiology
Director of 2nd Department of Cardiology
Hippokrateion GH Thessaloniki
Aristotle University Medical School
This website uses cookies to ensure you get the best experience. Read our privacy policy.